Case Studies

Happy family thanking the Gensingen Cheneau brace designer himself Dr Hans Rudolf Weiss in person for his contribution to their daughters’ improvements.

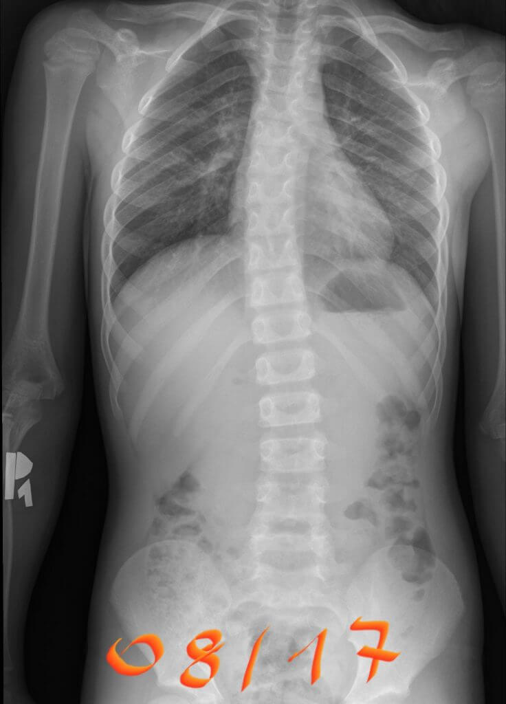
Comparisons in before and after treatment posture photos are taken when the patient is relaxed. Photos are not posed unless they are in exercise or treatment positions.

Case Study One

A 14-year-old girl who has been braced with a Gensingen Cheneau brace full time and stopped Schroth Best Practice home programs after her initial 3-month home program, she is now weaning from her brace. As expected with good compliance even mature girls can make some small improvements in cobb angle to help avoid surgery and she is clearly very pleased with the cometic improvements she made.

‘Mature adolescent girl makes big cosmetic improvements and a small but significant cobb angle improvement’


Case Study Two

An 11-year-old girl just started her secondary school with this new Gensingen Cheneau brace in a lilac colour fitted in our joint clinic session. She previously had a reasonably good Cheneau brace from China but has improved comfort and in-brace correction with this new brace. She should be able to go to part time bracing when her maturity is increased after puberty. She was provided with a Schroth Best Practice Program which she completed at home daily for 6 weeks before this and she has normalised her posture, now she can focus more on her sport activities and her new school life, as the brace manages her cobb angle.

‘Pre-pubescent girls makes the leap from alternative Cheneau brace to Gensingen Cheneau brace’


Case Study Three

An 11-year-old boy who is moderately hypermobile, he was motivated to improve his back and avoid surgery. He completed a Schroth Best Practice Program daily at home for 2 months, which normalised his rotation (rib humps) and posture and contributed to the comfort of wearing his Gensingen Cheneau brace. No wooden wall bars required ! He is fully compliant in full time wear and instead of an intensive Schroth regime he can now get back to the activities he loves but wear the brace 20 hours to improve the cobb angle before he wears it part time to maintain the angle. Boys tend to have a later and longer growth spurt than girls, they tend to complete growth between 17 and 18 years old, but girls usually complete most of their growth by age 15.

 '

‘Hypermobile boy normalises his posture and returns his focus to the activities he enjoys whilst the brace works on reversing the angle’


Case Study Four

A 13-year-old girl previously in an NHS Boston brace. She completed 8 weeks of Schroth Best Practice home exercise program with a couple of reviews in person in both our Teddington and Earlsfield clinics. Once she met other patients in our peer brace group session who had the Gensingen Cheneau braces who shared their experiences, she felt confident to change brace design to the Gensingen Cheneau. She has now normalised her posture and therefore no need for specific Schroth Best Practice exercises, but she practices her 3D made easy postures in activities for when she weans from her Gensingen Cheneau brace later next year.

‘Adolescent girl changes from Boston brace to Gensingen brace with peer support from Gensingen brace group and now wears a brace that improves her chances to reverse the cobb angle’


Case Study Five

This patient was first seen by Scoliosisuk ltd in September 2017. She was recently seen in 2022 for a review and alterations of her Schroth Best Practice home program as scoliosis continues to need monitoring especially in large growth spurts . Her mum had spinal fusion and both parents are very supportive. She applies short bursts of exercise over 6-12 weeks, reviewing with low dose EOS X-rays and keeping herself super fit with her activities and sports. She has managed the condition without a brace since age 7 and now she is age 12 ! A great example of how to not only avoid surgery but also how to avoid bracing too ! Schroth Best practice can help reverse cobb angle if exercises are carried out well at home with support and the curves are less than 25 degrees. This matches the international guidelines for Scoliosis treatment criteria. Small curves need swift effective action and realistic Schroth programs rather than intensive overwhelming courses of physiotherapy.

‘A young small juvenile curve – uses Schroth Best Practice in short bursts and maintains her activities – avoids not only surgery but also bracing ! From age 7 to age 12!’


Case Study Six

Lady in her 50s who continues to work in her own business and has a degenerative scoliosis. She is serious about avoiding pain and maintaining improvements she has made in her posture without surgery, pain killers and injections. She reports reduced pain and feels more able to manage her work and family commitments now she understands her condition and keeps herself fit and strong with Pilates. After a few months of a bespoke Schroth Best Practice program of 40 mins per day, she now completes a Schroth Best Practice home program 15 mins per day which she claims she finds help reduce the fatigue and pain she has during her workday and aims to prevent collapse and she has also adapted her Pilates regime armed with her knowledge of her own curve pattern and movements.

Degenerative scoliosis in a determined middle-aged adult – she is now enabled to manage her scoliosis, continue to run her own business, and has avoided surgery, injections and painkillers.


Case Study Seven

This patient has been seen by ScoliosisUK ltd Physiotherapist since 2013 when the patient was just 6 years old. This is not an idiopathic case – this is a non-idiopathic case – the cause is thought to be a post-operative rib fusion on the right side causing a large left thoracic curve on the left. The original cobb angle was around 50 degrees, and the family were desperate for this patient, who already had complex surgery as an infant, obviously wanted to avoid growing rods or fusion. This patient was provided with a NHS Boston and Cheneau derivatives initially and then finally several Gensingen Cheneau brace from 2016 and has managed to avoid surgery – now she is 15 years old with a 35-degree thoracic cobb angle. It’s been a tricky case as the consultant surgeon did not want to separate the ribs, which would have allowed for more cobb angle correction as the fusion of ribs prevents this, but this girl is a fighter, and she is now becoming a thriving young woman. She has had sharp bursts of support Schroth Best Practice home programs over the years in 6-12 week amounts to help with her shortened muscles and scar tissue, mum and dad both supportive. Her final Gensingen brace is being fitted shortly and we hope to see further signs of maturity on her X-ray to allow for part time hours this year, we all have everything crossed to see bony maturity and allow more weaning from brace sometime soon.

‘Non-idiopathic case – 6-year-old juvenile scoliosis thought to be a consequence of previous surgery and ultimately ribs fusing together. She reversed the curve from above 50 to 39 degrees cobb angle and holding strong at age 15’